
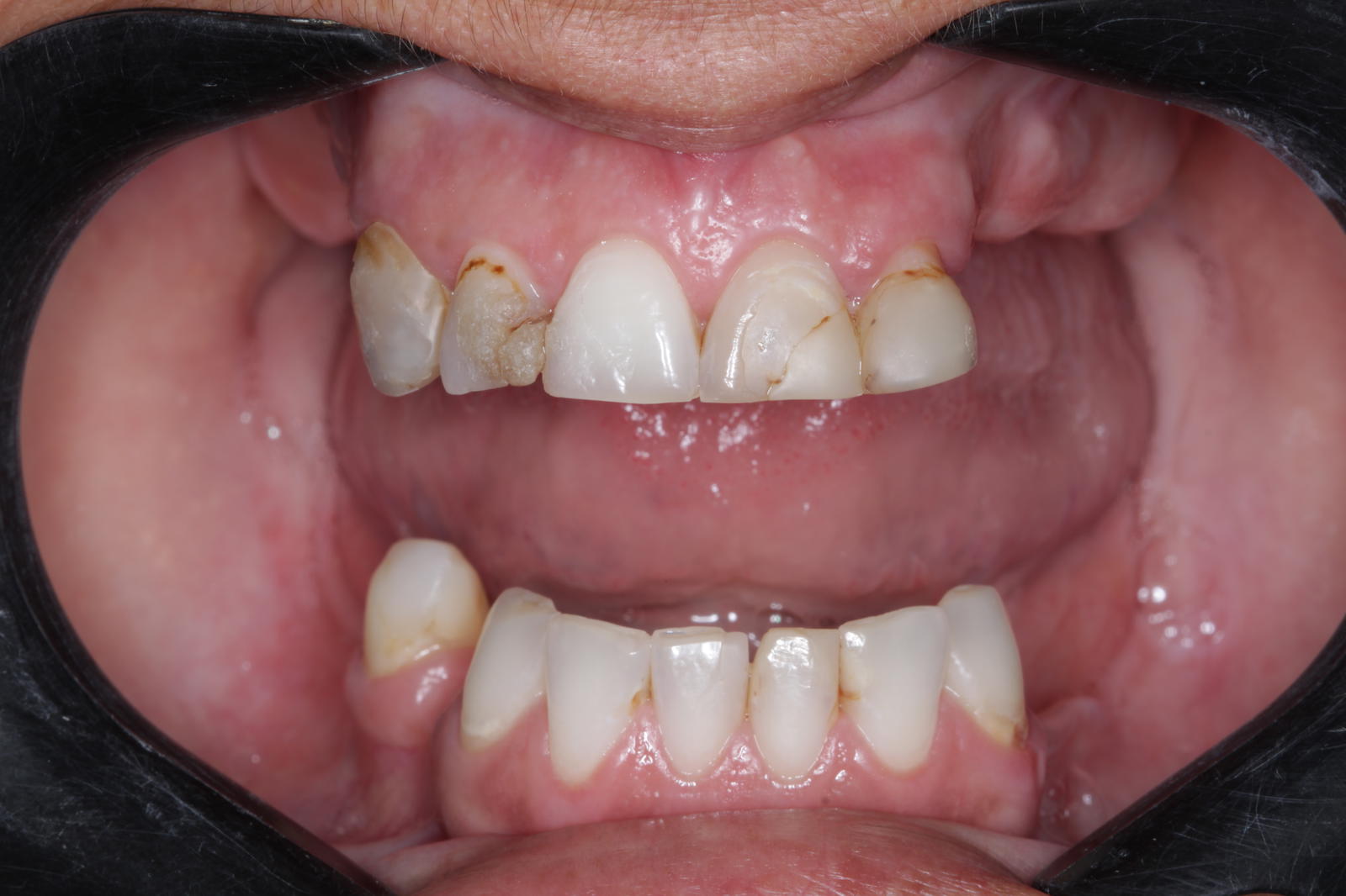
Dói mais segurar o sorriso
do que fazer um implante
A vergonha de falar, rir ou comer na frente dos outros pesa mais que qualquer procedimento.
A reabilitação existe para aliviar essa dor e devolver leveza ao seu dia.
Dra. Gabriela Alonso
Implantodontia e Reabilitação Oral
Com 11 anos de experiência, a Dra. Gabriela Alonso é especialista em Implantes Dentários e Mestre em Reabilitação Oral, atuando em reabilitações completas que envolvem tanto a etapa cirúrgica quanto a protética. Seu foco está no manejo de casos complexos, onde precisão, técnica e visão integrada são indispensáveis.
Seu trabalho une tecnologia avançada, planejamento digital criterioso e um atendimento individualizado que respeita a história, a estética e a funcionalidade de cada paciente. Restaurar o sorriso e devolver confiança não é apenas um resultado; é o propósito que orienta sua prática diária.
Além do atendimento clínico, a Dra. Gabriela também desenvolve parcerias com outros dentistas, oferecendo suporte especializado e execução de procedimentos que exigem experiência aprofundada em implantodontia.
Excelência técnica, segurança, cuidado e transparência definem sua atuação e sustentam a confiança dos pacientes e colegas que depositam em seu trabalho os casos mais desafiadores.


A reabilitação oral é indicada para pacientes que apresentam desgaste severo dos dentes, múltiplas ausências dentárias ou comprometimento funcional e estético do sorriso.
O tratamento pode envolver implantes, próteses fixas e planejamento restaurador completo, sempre com foco em:
Restabelecer a função mastigatória
Harmonizar estética e sorriso
Promover conforto e estabilidade a longo prazo
A abordagem é baseada em planejamento detalhado, integração entre parte cirúrgica e protética e execução com alto padrão técnico.
PERGUNTAS FREQUÊNTES
A maioria dos adultos pode realizar implantes dentários, desde que apresente condições adequadas de saúde bucal e óssea. Cada caso passa por uma avaliação clínica e radiográfica detalhada para definir a melhor abordagem e garantir segurança e previsibilidade no tratamento.
O procedimento é realizado com anestesia local, o que torna a cirurgia confortável. No pós-operatório, é comum um leve desconforto, geralmente bem controlado com medicação e orientações adequadas fornecidas pela profissional.
O tempo de tratamento varia de acordo com a complexidade do caso, a necessidade de procedimentos complementares e o planejamento individual. Essas informações são definidas após a avaliação inicial e explicadas de forma clara ao paciente.
Sim. Quando realizados com planejamento adequado, materiais de qualidade e técnica correta, os implantes dentários apresentam altos índices de sucesso. A segurança do tratamento depende de diagnóstico preciso e acompanhamento profissional.
A reabilitação oral é indicada para pacientes que apresentam múltiplas perdas dentárias, desgaste severo ou comprometimento funcional e estético do sorriso. O objetivo é restabelecer função, estética e equilíbrio por meio de um plano de tratamento completo e individualizado.
Os implantes dentários são projetados para oferecer longevidade. Com correta execução, higiene adequada e acompanhamento profissional periódico, podem durar muitos anos, proporcionando estabilidade e conforto ao paciente.
Na avaliação inicial, a Dra. Gabriela Alonso realiza uma análise detalhada da saúde bucal, exames necessários e entendimento das necessidades do paciente. A partir disso, é apresentado um planejamento personalizado, com explicação clara das etapas do tratamento.
DRA. GABRIELA ALONSO | IMPLANTES E REABILITAÇÃO ORAL
Rua Floriano Peixoto, 2189 - Centro - Franca SP (16) 99449-3616